From Wikipedia, the free encyclopedia. A gemistocyte (/dʒɛˈmɪstəsaɪt/ jem-ISS-tə-syte; from Greek γέμιζω (gemizo) ‘to fill up’) is a swollen, reactive astrocyte. These cells usually appear during acute injury; after that, they gradually shrink in size.

Is gemistocytic astrocytoma cancer?

If left untreated, patients with gemistocytic astrocytoma may progress to develop seizures, focal neurological deficits, hydrocephalus, or malignant transformation to anaplastic astrocytoma or glioblastoma multiforme. Gemistocytic astrocytoma is a slow growing tumor, but it behaves in an aggressive manner.

What is a gemistocytic astrocytoma?

Gemistocytic astrocytoma is a histologic subtype of low grade astrocytoma, with a poorer prognosis than other matched WHO grade tumors, and with no specific imaging features. For a general discussion of clinical presentation, epidemiology, treatment please refer to the article on low grade astrocytomas.

What is an infiltrating brain tumor?

Brain stem gliomas, also called diffuse infiltrating brainstem gliomas, or DIPGs, are rare tumors found in the brain stem. They usually cannot be surgically removed because of their remote location, where they intertwine with normal brain tissue and affect the delicate and complex functions this area controls.

What are gemistocytic astrocytomas?

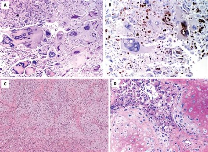
Gemistocytes are cells swollen with hyaline, pink cytoplasm that is reactive for GFAP (Fig. 20.15 A; see Table 20.5 ). Their hyperchromatic and angulated nuclei are at the rim of the cells, producing a bizarre caricature of a reactive astrocyte. Astrocytomas with at least 20% gemistocytes may be considered gemistocytic astrocytomas.

Do gemistocytes and giant cells indicate malignancy?

Gemistocytes are biologically harmless and would presumably be the losers in an intense competition for the substrates needed for cell proliferation. Consequently, they may reflect considerable proliferative activity in adjacent neoplastic cells; and, if gemistocytes and giant cells indicate malignancy, they do so secondarily.

What is the difference between neoplastic gemistocytes and gemistocytic cells?

Neoplastic gemistocytes are angular shaped with abundant, glassy, eosinophilic cytoplasm and eccentric nuclei with distinct nucleoli Intermingled small cell component: small tumor cells with dark nuclei and scanty cytoplasm; constitutes the proliferating component with higher Ki67 index compared to gemistocytic cells

What is the difference between small and large gemistocytes in colon cancer?

Gemistocytes lack proliferative activity possibly indicating terminal differentiation, while small cells are the proliferating cells and their overall percentage may reflect the biological aggressiveness of these tumors and help to identify GAs of higher grade undergoing malignant progression.